ΙΩΑΝΝΗΣ ΒΑΪΛΑΣ - Διευθυντής Ορθοπαιδικός Χειρουργός Θεραπευτηρίου METROPOLITAN
  • Επικοινωνία
  • Δημοσιότητα
  • Περιστατικά
  • Βιογραφικό
  • Σύγχρονες επεμβάσεις άκρου ποδός
  • Ρομποτική χειρουργική
    • Γόνατο
    • Ισχίο
  • Σύγχρονες τεχνικές αρθροπλαστικών
    • AMIS
    • Ολική Γόνατος με πλοήγηση
  • Αρθροσκοπική χειρουργική
  • Τραυματολογία
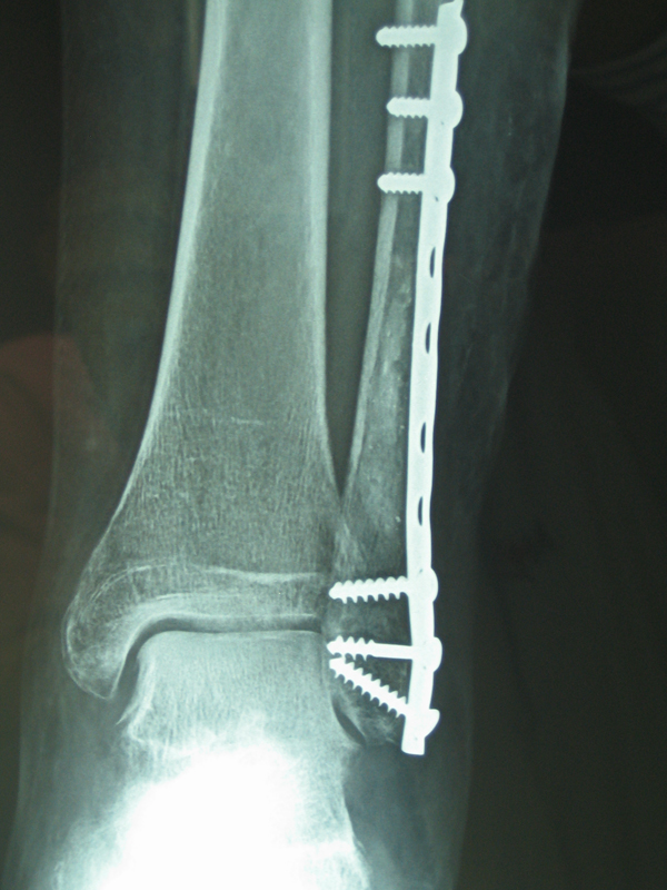
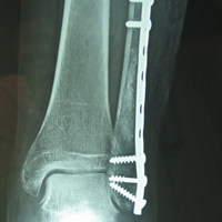
  • Οστεολυτική εξεργασία περόνης


    < Πίσω

     




    ΙΩΑΝΝΗΣ ΒΑΪΛΑΣ © 2023

    Web Design & Development by Dr. Graphics